
What is Composite Bonding?
Composite bonding is a cosmetic dental procedure where tooth-colored resin is applied to repair or enhance your teeth. It's perfect for fixing chips, gaps, discoloration, and minor misalignments.
Pain-free cosmetic dentistry solution for chipped, gapped, or discolored teeth in just one visit at Beaulieu Dental Chelmsford
Available to make your dream smile affordable
3 hours complimentary onsite parking

500+ Happy Patients
Trusted Results at Chelmsford
See the incredible transformations our patients have achieved with composite bonding at Beaulieu Dental

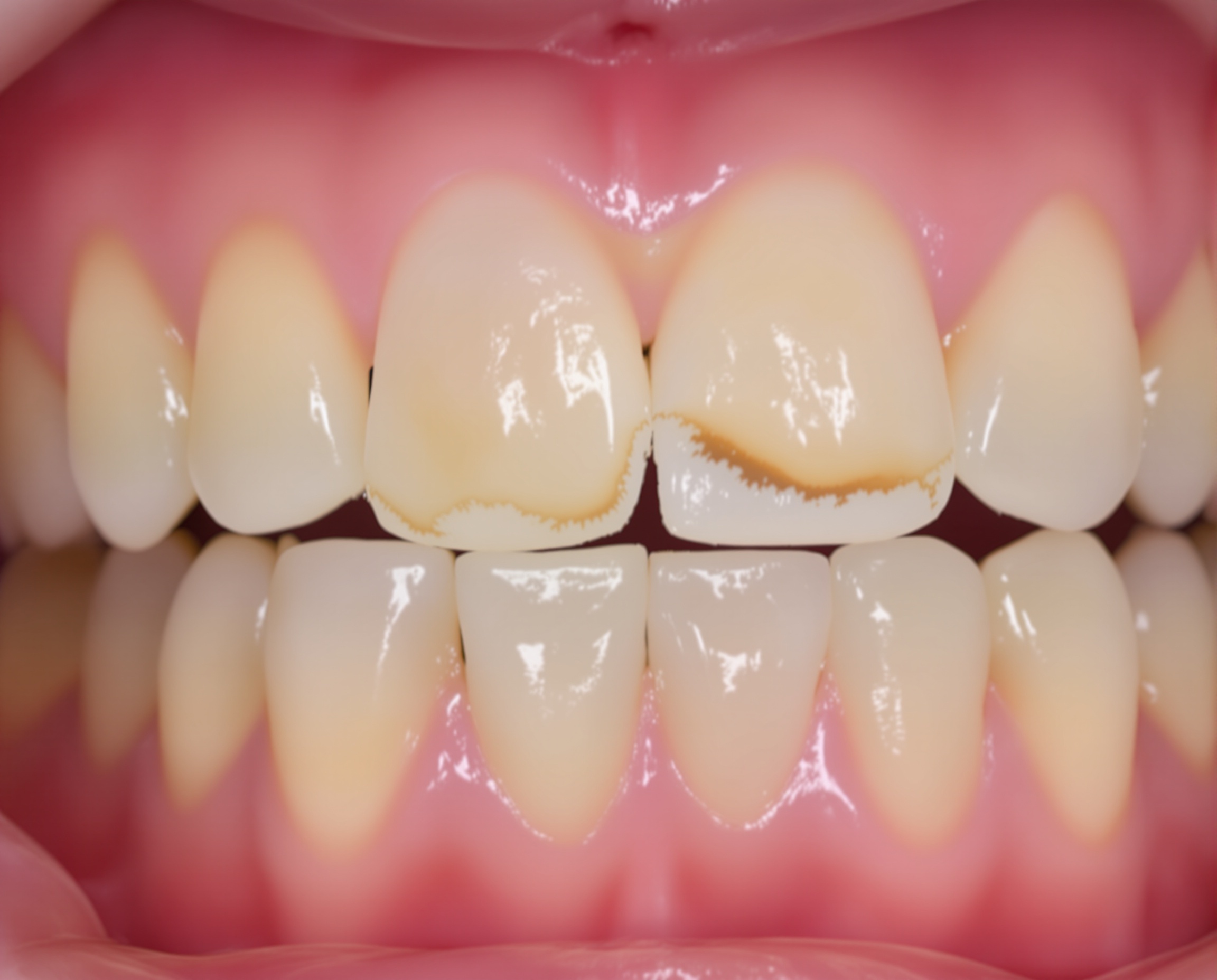
Chipped & Gapped Teeth
Seamless, Natural Smile
Ready to transform your smile?
Real reviews from real patients who transformed their smiles with composite bonding at Beaulieu Dental
"I was so self-conscious about my chipped front tooth, but composite bonding completely transformed my smile! The procedure was quick, painless, and the results look incredibly natural. I can't stop smiling now!"

Sarah Mitchell
Chelmsford

Transform Your Smile with Confidence
Discover how composite bonding in Chelmsford can transform your smile quickly, painlessly, and affordably

Composite bonding is a cosmetic dental procedure where tooth-colored resin is applied to repair or enhance your teeth. It's perfect for fixing chips, gaps, discoloration, and minor misalignments.
Most composite bonding treatments are completed in just one visit, typically lasting 30-60 minutes per tooth. No anesthesia needed in most cases, making it a comfortable experience.
Our expert dentists carefully match the composite resin to your natural tooth color, ensuring seamless, beautiful results that blend perfectly with your smile.
Experience the benefits of composite bonding in Chelmsford with our expert dental team
No drilling or anesthesia required in most cases. Composite bonding is a gentle, non-invasive treatment that preserves your natural tooth structure.
Custom-matched to your tooth color for seamless results. The composite resin blends perfectly with your natural teeth for an undetectable finish.
More affordable than veneers or crowns. Get stunning results without breaking the bank, with flexible payment options available.
Walk out with a transformed smile in just one visit. See immediate improvements to your confidence and appearance.
With proper care, composite bonding can last 5-10 years. Durable and stain-resistant for lasting beauty.
Fixes chips, gaps, discoloration, and minor misalignments. One treatment, multiple cosmetic improvements.
Book your free consultation today and discover how composite bonding can give you the confident smile you've always wanted.
Explore Our Full Range of Services
Discover all our dental treatments, meet our team, and learn more about Beaulieu Dental.
Visit Beaulieu DentalDiscover our comprehensive range of dental services designed to give you the smile you deserve

Permanent solution for missing teeth with natural-looking results that last a lifetime.
Professional whitening treatments for a brighter, more confident smile in just one visit.
Clear aligners that straighten your teeth discreetly without traditional metal braces.
Custom-made porcelain shells that cover imperfections for a flawless, natural smile.
Durable caps that restore damaged teeth, providing strength and natural appearance.
Save infected teeth with gentle, pain-free root canal therapy performed by experts.